背景:急性肾损伤(AKI)是脓毒症的主要并发症,亟需探索新的治疗方式。中药大黄甘草汤(DHGC)在治疗脓毒症相关急性肾损伤(SA-AKI)方面具有潜力,但具体米乐 登录入口机制仍需进一步研究。
目的:本研究旨在验证大黄甘草汤在体内外治疗脓毒症相关急性肾损伤中抑制铁死亡的作用。
方法:采用脂多糖(LPS)诱导 C57BL/6 小鼠和 C57BL/6 背景的沉默信息调节因子 3(SIRT3)敲除(SIRT3⁻/⁻)小鼠,使用 erastin 诱导正常和 SIRT3 小干扰 RNA(si-SIRT3)转染的人近端肾小管上皮(HK-2)细胞建立铁死亡模型,随后进行大黄甘草汤处理。首先,通过液相色谱 - 串联质谱法(LC-MS/MS)鉴定大黄甘草汤的成分,并通过与高效液相色谱(HPLC)参考标准对比进一步筛选潜在活性成分。采用生化检测、透射电子显微镜(TEM)、免疫组织化学、免疫荧光和细胞计数试剂盒 - 8(CCK-8)检测等方法,评估体内外铁死亡水平及大黄甘草汤的保护机制。通过 RNA 测序(RNA-seq)鉴定关键通路,并采用酶联免疫吸附试验(ELISA)和蛋白质印迹法(Western blotting)验证。最后,将潜在活性成分与 SIRT3 进行分子对接,筛选候选单体用于后续体外功能验证。
结果:脂多糖成功诱导小鼠脓毒症相关急性肾损伤,erastin 成功诱导 HK-2 细胞铁死亡。大黄甘草汤可改善肾功能、提高细胞活力,并逆转铁死亡关键指标的异常变化。机制上,建模后 SIRT3 / 核因子红细胞 2 相关因子 2(NRF2)通路相关蛋白表达下调,NRF2 核转位受抑;而大黄甘草汤可上调 SIRT3/NRF2 通路相关蛋白表达,促进 NRF2 核转位,激活下游谷胱甘肽过氧化物酶 4(GPX4)表达。重要的是,在 SIRT3 缺陷模型中,大黄甘草汤无法改善上述指标。通过 HPLC 参考标准对比筛选出大黄甘草汤的潜在活性成分,经与 SIRT3 分子对接鉴定出候选单体,这些单体具有与大黄甘草汤一致的铁死亡抑制作用。
结论:本研究首次证实,大黄甘草汤通过激活 SIRT3 介导的 NRF2 去乙酰化,促进 NRF2 核转位,抑制铁死亡,从而延缓脓毒症相关急性肾损伤的进展。这些发现表明大黄甘草汤是治疗脓毒症相关急性肾损伤的潜在候选药物,值得进一步临床研究。

图1.与 HPLC 参考标准的对比。(A)大黄甘草汤提取物在 LC-MS/MS 分析中的负离子模式;(B)大黄甘草汤提取物在 LC-MS/MS 分析中的正离子模式。

图2.脓毒症相关急性肾损伤模型的建立。(A)动物实验方案示意图;(B)血清尿素氮(BUN)水平指示的肾功能评估;(C)血清肌酐(SCr)水平;(D-F)血清炎症细胞因子(肿瘤坏死因子 -α(TNF-α)、白细胞介素 - 6(IL-6)、白细胞介素 - 1β(IL-1β))的定量分析;(G)肾组织中铁离子(Fe²⁺)含量的测定;(H-J)氧化应激标志物(血清超氧化物歧化酶(SOD)活性、丙二醛(MDA)水平、谷胱甘肽(GSH)水平)的评估;(K)肾小管损伤评分的定量分析;(L)肾脏病理变化的代表性图像,通过 H&E 染色评估肾脏组织学(×400,比例尺 = 50μm),免疫组织化学染色检测 GPX4 和 4 - 羟基壬烯醛(4-HNE)表达(×400,比例尺 = 50μm),透射电子显微镜观察线μm)。

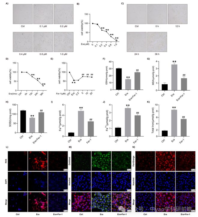
图3.体外铁死亡模型的建立。(A-D)不同浓度和时长 erastin 处理的 HK-2 细胞经 CCK-8 assay 检测的细胞活力;(E)Fer-1 对细胞活力的影响;(F-H)细胞内氧化应激标志物(GSH 和 MDA)的定量分析;(I-K)细胞内铁水平(Fe²⁺、Fe³⁺和总铁)的测定;(L)荧光强度指示的细胞内活性氧(ROS)水平代表性图像(×200,比例尺 = 50μm);(M-N)脂质过氧化(C11-BODIPY)和亚铁离子(FerroOrange)的代表性荧光图像(×400,比例尺 = 20μm)。

图4.大黄甘草汤逆转脓毒症相关急性肾损伤小鼠肾组织中的肾损伤、炎症反应、氧化应激和铁死亡。(A)实验设计时间线;(B-C)大黄甘草汤对肾功能标志物(BUN 和 SCr)的影响(n=6);(D-F)大黄甘草汤对氧化应激标志物(MDA、GSH 和 SOD)的影响(n=6);(G)肾组织 Fe²⁺含量分析(n=6);(H)肾脏病理和铁死亡标志物的代表性图像,H&E 染色显示组织学结构(×400,比例尺 = 50μm),免疫组织化学染色检测 GPX4 和 4-HNE(×400,比例尺 = 50μm),透射电子显微镜显示线μm);(I)差异表达 mRNA 的火山图(红色:上调;蓝色:下调);(J)主成分分析(PCA)图显示各组间的明显聚类;(K)差异表达基因的热图;(L-N)肾组织中 SIRT3、GPX4、长链脂酰辅酶 A 合成酶 4(ACSL4)、核 NRF2 和乙酰化 NRF2(ac-NRF2)表达的蛋白质印迹分析和定量(β- 肌动蛋白(β-actin)和层粘连蛋白 B1(Lamin B1)作为内参)(n=3)。

图5.大黄甘草汤可恢复 HK-2 细胞活力并减轻氧化应激和铁死亡。(A)不同大黄甘草汤浓度下 CCK-8 assay 检测的细胞活力;(B-D)SOD、MDA 和 GSH 水平;(E-G)细胞内铁水平(Fe²⁺、Fe³⁺和总铁);(H-K)脂质过氧化(C11-BODIPY)和亚铁离子积累(FerroOrange)的代表性荧光图像(×400,比例尺 = 20μm);(L-N)SIRT3、GPX4、ACSL4、核 NRF2 和 ac-NRF2 的蛋白质印迹分析和定量密度测定。

图6.在 SIRT3⁻/⁻小鼠中,大黄甘草汤无法通过去乙酰化改善理化指标或铁死亡。(A-B)肾功能参数(BUN 和 SCr)(n=6);(C-E)血清炎症细胞因子(TNF-α、IL-6 和 IL-1β)(n=6);(F)肾小管损伤评分定量(n=6);(G)H&E 染色、GPX4/4-HNE 免疫组织化学(×400,比例尺 = 50μm)和透射电子显微镜线μm)的代表性图像;(H-J)氧化应激标志物(SOD、GSH 和 MDA)(n=6);(K)肾组织 Fe²⁺含量(n=6);(L-N)SIRT3/NRF2 通路相关蛋白的蛋白质印迹分析(n=3)。

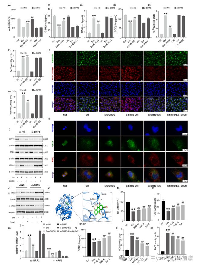
图7.在 SIRT3 敲低的 HK-2 细胞中,大黄甘草汤无法通过 SIRT3 介导的 NRF2 去乙酰化减轻铁死亡。(A)细胞活力(CCK-8 assay);(B-D)细胞内 GSH、MDA 和 SOD 水平;(E-G)铁代谢指标(Fe²⁺、Fe³⁺和总铁);(H)C11-BODIPY 染色检测脂质过氧化的代表性荧光图像(×400,比例尺 = 20μm);(I-K)通路蛋白的蛋白质印迹定量;(L)评估 NRF2 核转位的代表性共聚焦显微镜图像(×600,比例尺 = 10μm);(M)大黄酸与 SIRT3 的分子对接可视化;(N-R)大黄酸单体对细胞活力和铁死亡标志物的影响。

图8.大黄甘草汤通过 SIRT3/NRF2 通路改善脓毒症相关急性肾损伤铁死亡的示意图。
本研究结果表明,大黄甘草汤通过激活 SIRT3 介导的 NRF2 去乙酰化,促进 NRF2 核转位,从而减轻铁死亡。这些发现提示 SIRT3/NRF2 通路是脓毒症相关急性肾损伤的潜在治疗靶点,并提供了支持大黄甘草汤在此背景下治疗潜力的临床前数据。
【福利时刻】科研服务(点击查看):、、、、、。咨询加微信:1278317307。

特别声明:以上内容(如有图片或视频亦包括在内)为自媒体平台“网易号”用户上传并发布,本平台仅提供信息存储服务。
女子花4080元,溢价买男团演唱会门票,想退退不了,票还被他人用了!二手平台称处理无误,上海警方米乐 登录入口出米乐M6 米乐平台手了!
10年19冠!曼城官宣31岁功勋自由身离队 周薪25万 意甲3豪门哄抢
中东战火“烧”到北京车展?最爱车的经济学家李稻葵:燃油车还能买,但这几类车企危险了
拍了几年的急救视频,模特小朋友长大了!拍到异物卡喉气道梗阻的急救方法更新了,气道完全梗阻五次拍背+五...

